Cosmetic Dentistry
At Camberley Dental Practice in Surrey we offer a range of modern cosmetic dentistry treatments.
A good smile does amazing things for one's confidence. This can be achieved by tooth whitening or bleaching. If just one or two teeth are discoloured, there are a number of options ranging from bonding (white fillings) to crowning (capping for our North American patients).
Teeth that are uneven or not so pleasant looking can be cosmetically enhanced with crowns, veneers, laminates, bonding and orthodontics.
Tooth Whitening

Bleaching or tooth whitening is an easy way to have a dazzling white smile for a confident new you. New bleaching techniques make it possible to have a brighter, more beautiful smile.
Teeth are stained by the foods and drinks we consume. Smoking further stains the teeth and the natural bright, white shade becomes darkened. Teeth whitening is a successful and simple method of lightening the colour of your teeth. As bleaching agents breakdown, oxygen is forced through the enamel. Staining quickly disappears, without damaging the tooth structure. The degree of whiteness achieved will vary from patient to patient and with the type of bleaching process chosen.
At Camberley Dental Practice we recommend home whitening (bleaching)
Impressions are taken of the patients upper and lower teeth, these are sent to the laboratory that makes the custom bleaching trays. At the next appointment the trays and bleaching gel incorporating full written instructions are given to the patient. At night after filling the tray with the gentle bleaching solution, simply insert them into your mouth and resume your normal activities or retire for the evening. The process is safe and fast.
Free Information Pack
download a free information pack
A 36 page report full of the most useful information, ideal if you’re thinking about any aspect of cosmetic dentistry:
- The costs and lowest price alternatives
- Your options and choices for treatment
- Are you suitable for treatment?
- How you can have whiter, straighter and better looking teeth
- How long does each treatment take?
- Plus lots more…
Dental Veneers

A veneer is a thin shell of tooth-coloured porcelain that is bonded to your front teeth. It is mainly used for aesthetic reasons since it gives a straighter appearance to crowded teeth, close gaps and spaces, cover stained teeth and fillings and generally brighten and improve your smile. Veneers are very thin and are held in place by a special strong bond so that very little preparation of the tooth is needed. Veneers make teeth look healthy and natural.
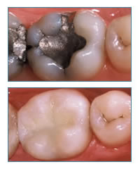
White Fillings

Most people have fillings of one sort or another in their mouths. Many people don’t want silver fillings that show when they laugh or smile because they are more conscious about the way they look.
It is usually best to change fillings only when your dentist decides that an old filling needs replacing. At Camberley Dental Practice, we recommend white fillings.
The beauty of white fillings is that there is little or no reduction of the tooth structure. However the white restorations can chip or stain more easily than the laboratory made restoration but can be repaired or replaced more easily.
If the tooth has been weakened by decay or a very large filling it is recommended to have either an inlay/onlay or a crown. An inlay sits in a hole in the tooth.
An onlay sits on the tooth and builds up its shape. Inlays and onlays can be made in tooth-coloured material or gold.

